Un análisis retrospectivo de pacientes con aspergilosis pulmonar crónica (APC) demostró la sensibilización a Aspergillus y un mayor título de IgG específica, al finalizar el tratmiento antifúngico, como predictores de recaída. Sin embargo, no se encontró una asociación significativa entre la recaída y enfermedades pulmonares subyacentes como enfermedad pulmonar obstructiva crónica o tuberculosis previa.
Este hallazgo es de gran utilidad a la hora de identificar pacientes que requieran un seguimiento más frecuente o más prolongado luego del tratamiento. Además, sugiere que la carga fúngica en las vías aéreas sería un determinante más importante de la recaída de la APC que las comorbilidades asociadas o las enfermedades de base en un paciente determinado. No obstante, dado que se observó mayor tasa de recaída en pacientes con tuberculosis (TB) previa (9 casos de recaída en 23 (39%) pacientes con historia previa de TB), los autores sugieren un análisis más exhaustivo que comprenda una muestra de mayor tamaño para poder identificar una asociación significativa entre este factor de riesgo y las recaídas.
El estudio incluyó 125 pacientes adultos con habían recibido al menos 6 meses de tratamiento con azoles para APC en el Centro Nacional de Aspergilosis, Manchester; los clínicos tratantes consideraron que no requerían continuar tratamiento antifúngico en ese momento. Los pacientes a los que se les cambió un antifúngico por otro, debido a intolerancia o resistencia, también fueron incluídos siempre y cuando el plazo transcurrido entre los dos agentes fuera menor a 6 semanas. De los 125, veintidos (26%) pacientes presentaron recaída. De 100 pacientes para quienes se contaba con información de seguimiento de más de 12 meses, 16 (16%) tuvieron una recaída temprana (dentro del año luego de completar el tratamiento antifúngico).
Clínicamente las recaídas pueden ser sutiles, con mínimo empeoramiento de los síntomas, pero con cambios significativos a nivel radiológicos o de la función pulmonar. Por lo tanto, el seguimiento debe incluir imagenologíca, titulación de IgG anti-Aspergillus, y cultivos fúngicos de pulmón y de esputo.

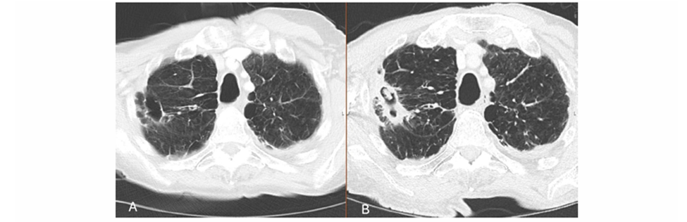
(B) Un año después de haber suspendido el tratamiento antifúngico, la TC muestra reaparición de bolas fúngicas dentro de la cavidad, engrosamiento de las paredes de la cavidad y consolidaciones pulmonares adyacentes.
